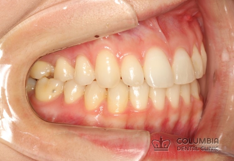
인쇄하기 Print List Orthodontics | Surgical orthodontic case 본문 Before > After 인쇄하기 Print List Prev ▲A long face and open bite was corrected through surgery. Next ▼Orthognathic surgery to reduce the big chin Prev Next List