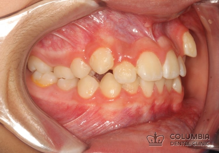
인쇄하기 Print List Orthodontics | Providing spaces for crowded teeth 본문 Before > After 인쇄하기 Print List Prev ▲Gum recession treatment along with cross bite correction Next ▼Deep bite and cross bite treatment Prev Next List