LOGIN
I
SITEMAP
Meet Our Doctors
American Board of Orthodontics
Academic & Volunteer Work
Complete Sterilization System
Clinic Hours & Directions
Interior
Meet Our Doctors
American Board of Orthodontics
Academic & Volunteer Work
Complete Sterilization System
Clinic Hours & Directions
Interior
Pre-Ortho
Growth-modification Treatment
Adult orthodontics
Surgical Orthodontics
3D Clear Aligner
3D Indirect bonding System
Sports Mouthguards
Pre-Ortho
Growth-modification Treatment
Adult orthodontics
Surgical Orthodontics
3D Clear Aligner
3D Indirect bonding System
Sports Mouthguards
Laser for endodontic treatment
Implant
All Ceramic
Laser for endodontic treatment
Implant
All Ceramic
All
Orthodontics
General Clinic
Other
All
Orthodontics
General Clinic
Other
FAQ
FAQ
Case Portfolio
All
Orthodontics
General Clinic
Other
목록
Total 61
5page
Open bite treatment
No.21
I
Orthodontics
I
2017-12-29
I
5245
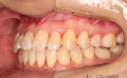
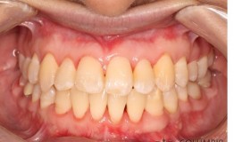
A small lateral incisor is restored to the full size.
No.20
I
Orthodontics
I
2017-12-29
I
4733
Profile is improved after growth modification treatment.
No.19
I
Orthodontics
I
2017-12-29
I
4941
Anterior cross bite and crowding correction
No.18
I
Orthodontics
I
2017-12-29
I
4919
Smile line is improved after treatment.
No.17
I
Orthodontics
I
2017-12-29
I
4732
Cross bite in the molar area is corrected.
No.16
I
Orthodontics
I
2017-12-29
I
4834
A completely tilted in tooth was brought back into the arch.
No.15
I
Orthodontics
I
2017-12-29
I
4744
High canine treatment in teen
No.14
I
Orthodontics
I
2017-12-29
I
4807
Gum recession treatment along with cross bite correction
No.13
I
Orthodontics
I
2017-12-29
I
4755
Providing spaces for crowded teeth
No.12
I
Orthodontics
I
2017-12-29
I
4882
First
1
페이지
2
페이지
3
페이지
4
페이지
열린
5
페이지
6
페이지
7
페이지
End
게시물 검색
검색대상
Subject+Content
Subject
Content
검색어
필수
Columbia Dental Clinic
Representative : JUNG, WON EUK
Address : 40ㅡ17 Sinheungbukro29beon-gil, Paengseong-eup, Pyeongtaek-si, Gyeonggi-do, Republic of Korea17977
Tel : 031-692-3768
Copyright 2017. Columbia Dental Clinic.. all rights reserved.